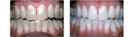
Tooth Whitening
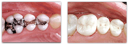
Cosmetic Procedures
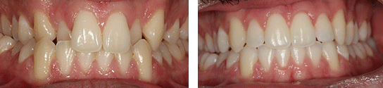
Invisalign
Copyright © 2012-2026 Website Design Essex | Maintained by Winchxltd